Skip to content
Home
About DDC
Menu Toggle
The Dental Design Story
Why Choose Us
Take a Tour
Award-winning
Our Technology
Promotion
Menu Toggle
Dental Implant Promotion
Invisalign Promotion
Veneers Promotion
Teeth Whitening Promotion
Braces Promotion
Services
Menu Toggle
Dental Implant
Menu Toggle
3-ON-6 IMPLANT
ALL-ON-4 / ALL-ON-6 IMPLANT
Smile Makeovers
Digital Smile Design (DSD)
Veneers
Braces
Invisalign
Teeth Whitening
Root Canal Treatment
Menu Toggle
Full Mouth Rehabilitation
Cosmetic Crown & Bridges
Laser Gum Treatment
Sinus Lift
Gum Lifting and Contouring
Laughing Gas – Nitrous Oxide Sedation for Dental Treatment
Implant Bone Grafting
Menu Toggle
Dentures
General Dentistry
Our Dentists
Menu Toggle
Pattaya’s Leading Dental Implant Center
Fees & Offers
Testimonial
Smile Gallery
News & Articles
Contact Us
English
Menu Toggle
English
ไทย
中文
Main Menu
MENU
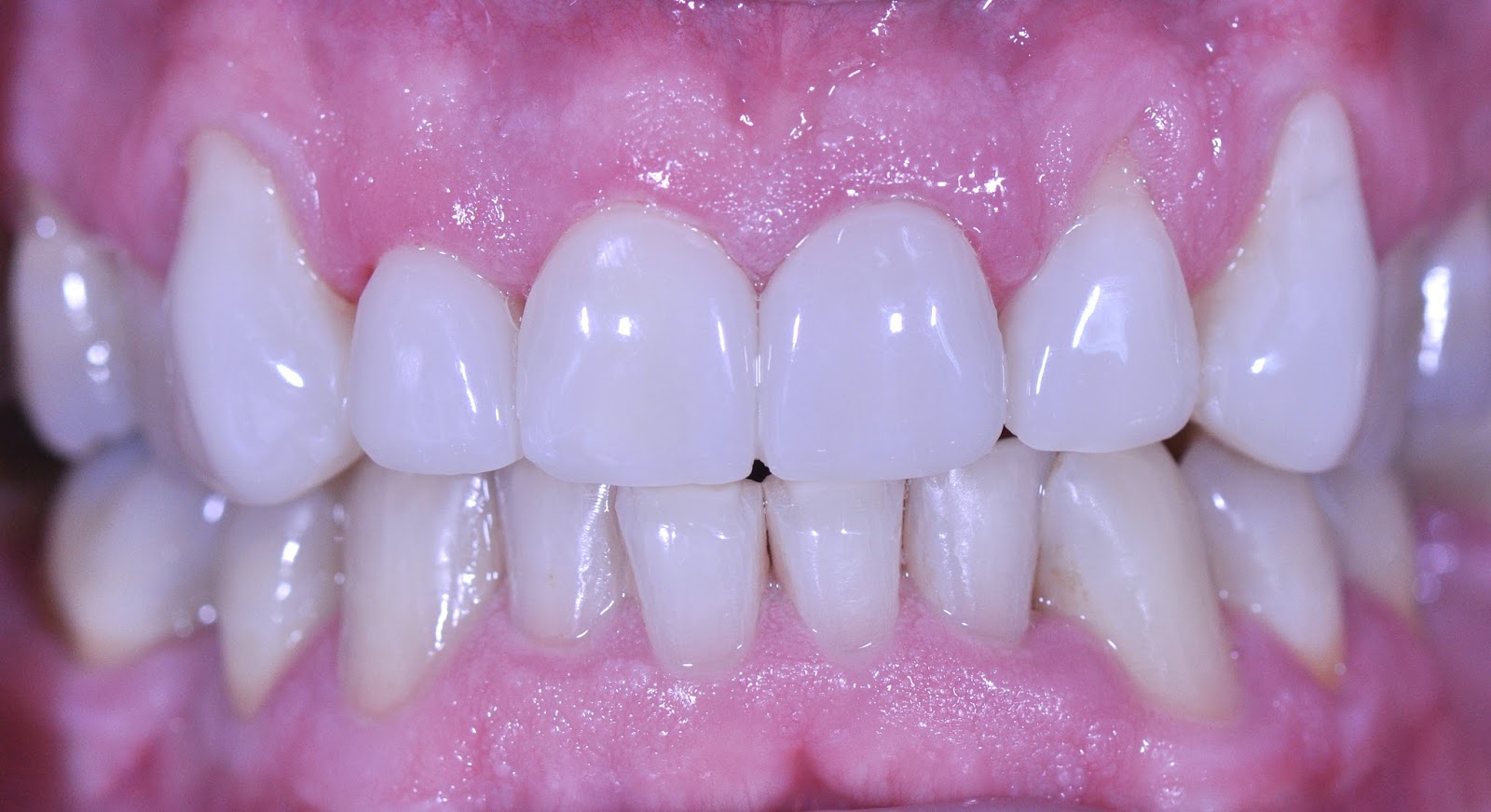
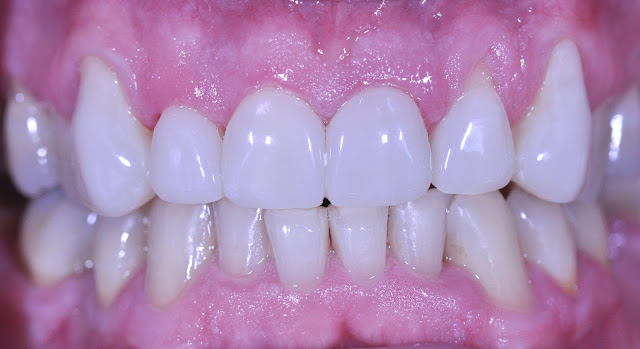
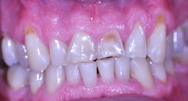
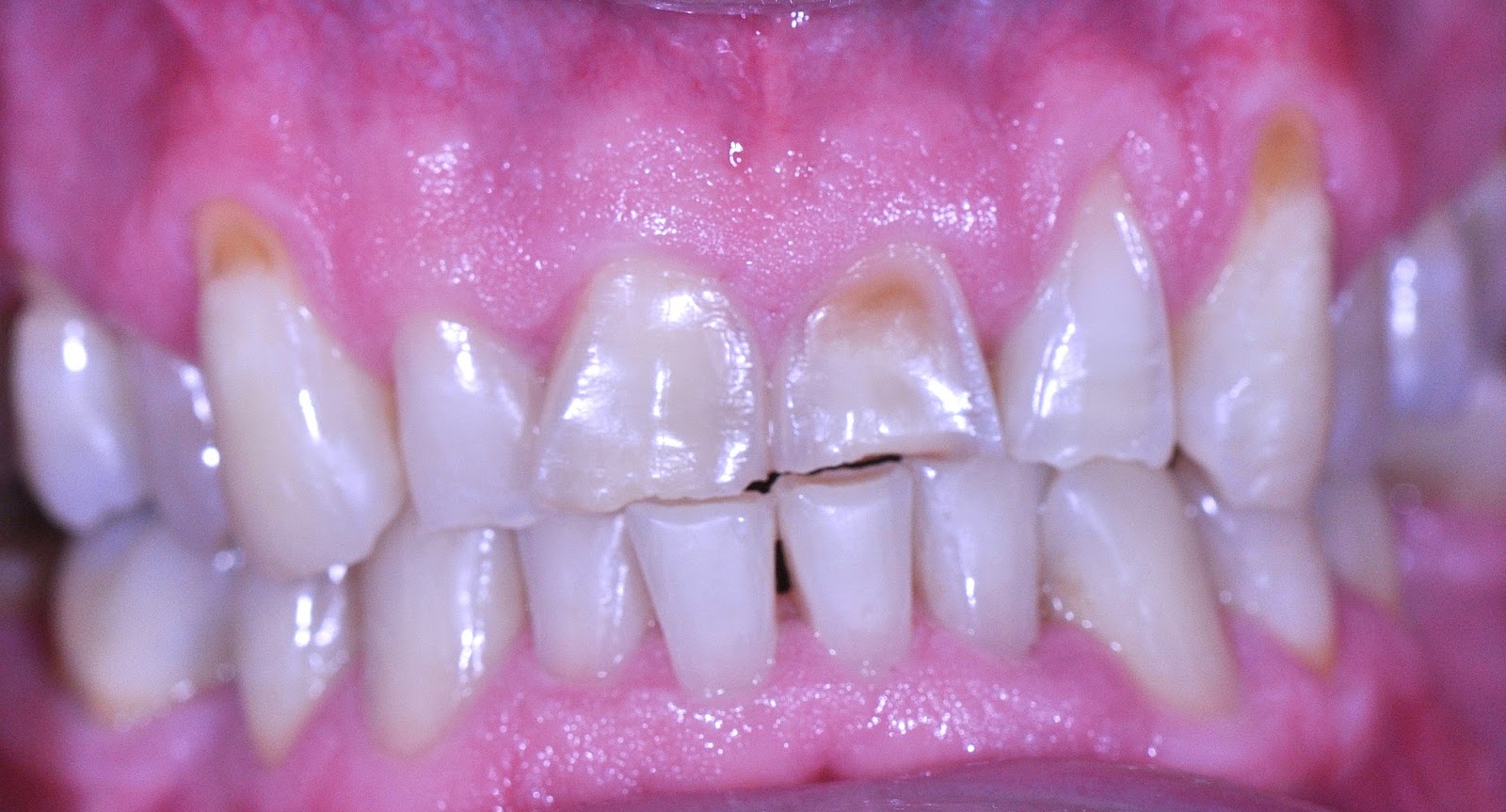
Cosmetic Dentistry : veneers and crowns
News & Articles
/ By
Dr. Ken Kasidis
Home
About DDC
Menu Toggle
The Dental Design Story
Why Choose Us
Take a Tour
Award-winning
Our Technology
Promotion
Menu Toggle
Dental Implant Promotion
Invisalign Promotion
Veneers Promotion
Teeth Whitening Promotion
Braces Promotion
Services
Menu Toggle
Dental Implant
ALL-ON-4 / ALL-ON-6 IMPLANT
3-ON-6 IMPLANT
Smile Makeovers
Digital Smile Design (DSD)
Veneers
Braces
Invisalign
Teeth Whitening
Root Canal Treatment
Full Mouth Rehabilitation
Cosmetic Crown & Bridges
Laser Gum Treatment
Sinus Lift
Gum Lifting and Contouring
Laughing Gas – Nitrous Oxide Sedation for Dental Treatment
Implant Bone Grafting
Dentures
General Dentistry
Our Dentists
Fees & Offers
Testimonial
Smile Gallery
News & Articles
Contact Us
ไทย
中文
Home
About DDC
Menu Toggle
The Dental Design Story
Why Choose Us
Take a Tour
Award-winning
Our Technology
Promotion
Menu Toggle
Dental Implant Promotion
Invisalign Promotion
Veneers Promotion
Teeth Whitening Promotion
Braces Promotion
Services
Menu Toggle
Dental Implant
ALL-ON-4 / ALL-ON-6 IMPLANT
3-ON-6 IMPLANT
Smile Makeovers
Digital Smile Design (DSD)
Veneers
Braces
Invisalign
Teeth Whitening
Root Canal Treatment
Full Mouth Rehabilitation
Cosmetic Crown & Bridges
Laser Gum Treatment
Sinus Lift
Gum Lifting and Contouring
Laughing Gas – Nitrous Oxide Sedation for Dental Treatment
Implant Bone Grafting
Dentures
General Dentistry
Our Dentists
Fees & Offers
Testimonial
Smile Gallery
News & Articles
Contact Us
ไทย
中文