Full mouth implant cases

joebefore1

Case 1:  Full mouth implants

joe%2Bbefore
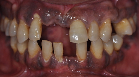
Intraoral picture before the implant treatment
 
Screen%2BShot%2B2558 11 22%2Bat%2B1.17.14%2BAM
Implant prostheses processing in the laboratory
 
 
joe%2Bnajar%2Baf
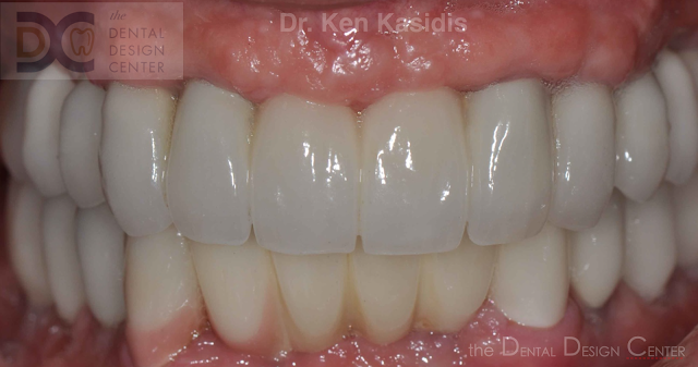
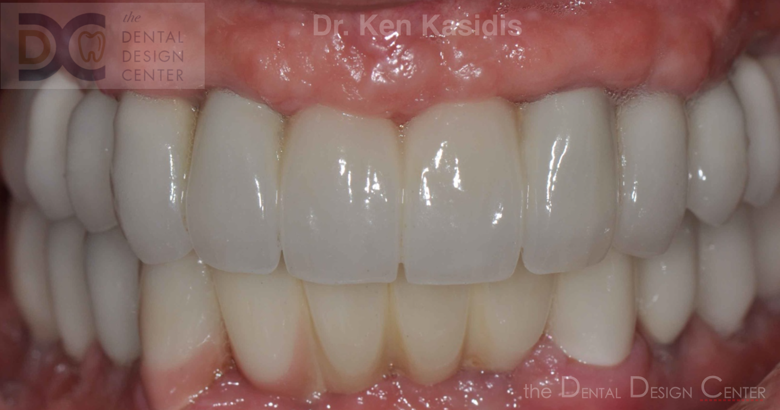
Final implant prostheses   
 
 
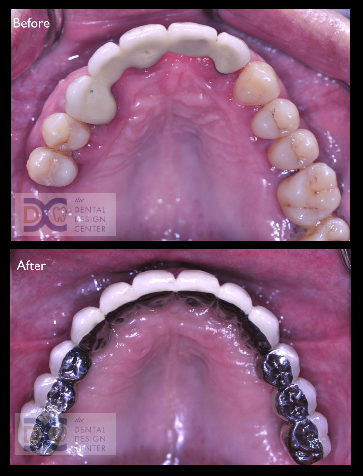
COMPARISONS  OF BEFORE & AFTER PICTURES
Screen%2BShot%2B2558 11 22%2Bat%2B1.16.49%2BAM
 
 
Screen%2BShot%2B2558 11 22%2Bat%2B1.17.27%2BAM
 
Screen%2BShot%2B2558 11 22%2Bat%2B11.32.21%2BAM
 
 
Screen%2BShot%2B2558 11 22%2Bat%2B1.13.49%2BAM
 
 Case 2
MGDDC01

MGDDC02

MGDDC03

MGDDC04

MGDDC06

%2BMGDDC05
Case 3
dental%2Btreatment%2Bpattaya%2Bdentist

dental%2Bimplant%2Besthetic%2Bpattaya

dental%2Bimplant%2Bcosmetic%2Bpattaya%2BAM

implant%2Bdentist%2Bdental%2Bpattaya%2BAM

dental%2Bmakeover%2Bimplant%2Bpattaya

dental%2Bmakeover%2Bpattaya

dental%2Bimplant%2Bpattaya%2Bdentist
 
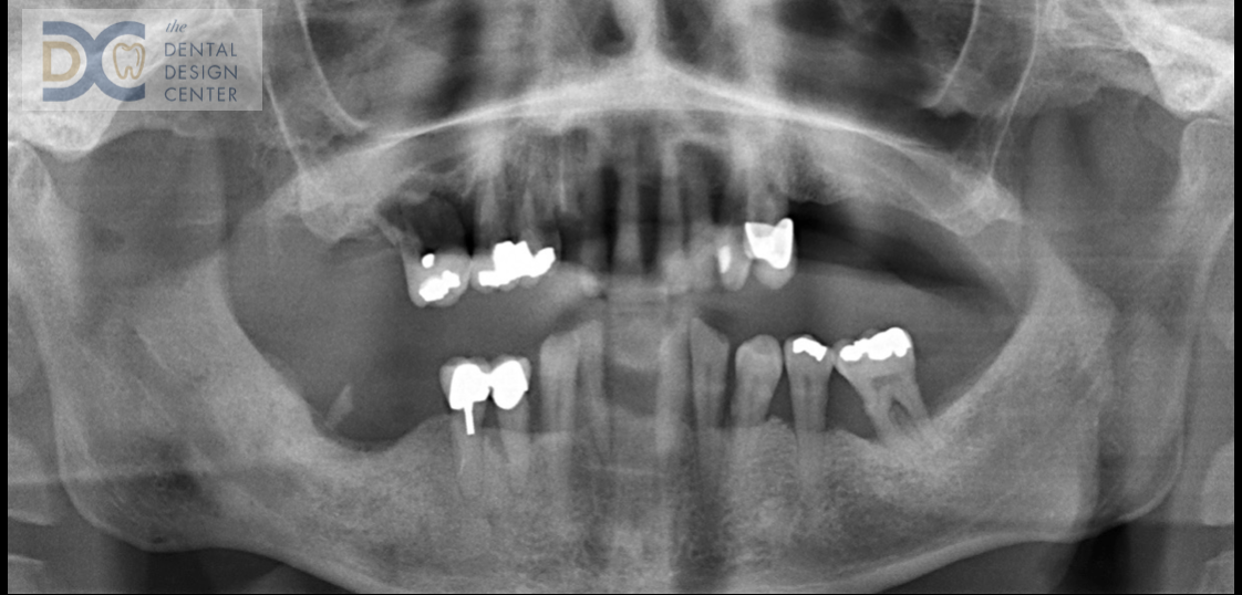
dental%2Bx ray%2Bpattaya%2B01

dental%2Bimplant%2Bx ray%2Bpattaya