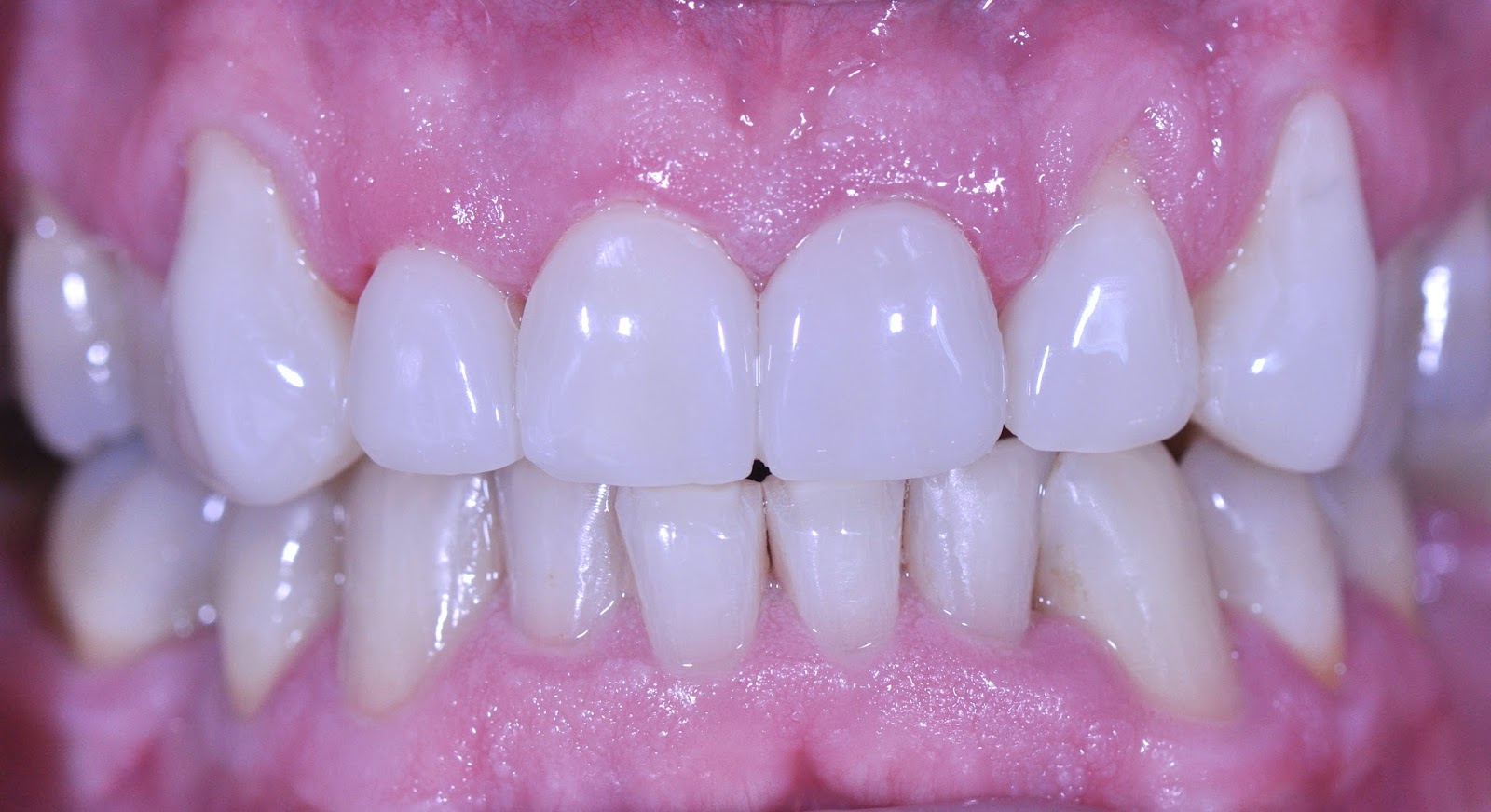
Improving anterior esthetics with Edelweiss veneers

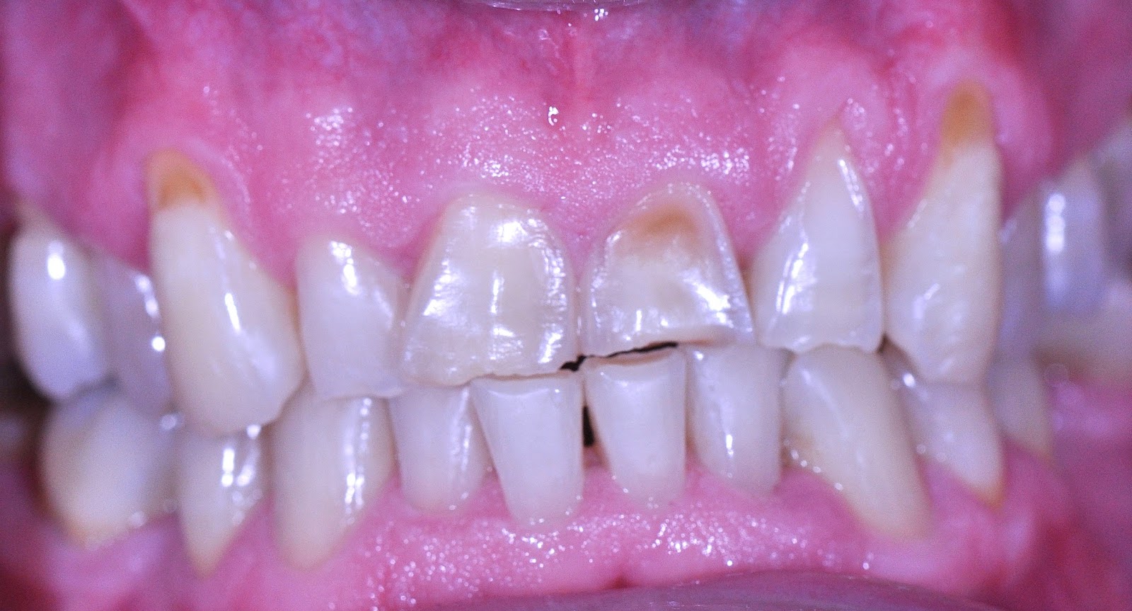
Before1

Edelweiss Veneers (Laser sintered prefabricated resin veneers) done by Dr. Ken Kasidis

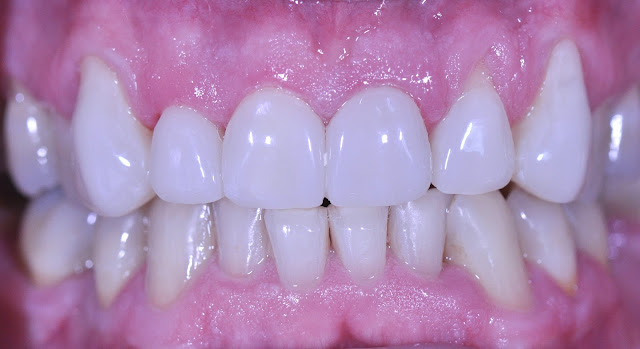
The patient has his upper anterior teeth wear and severe enamel loss from nail biting habit. Edelweiss veneers can improve his incisal tooth length and shape. Result is a big esthetic improvement of his smile.

Before

 

After

 

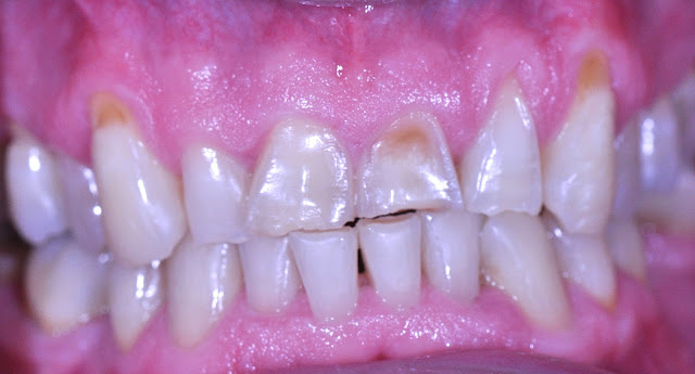
before2

 

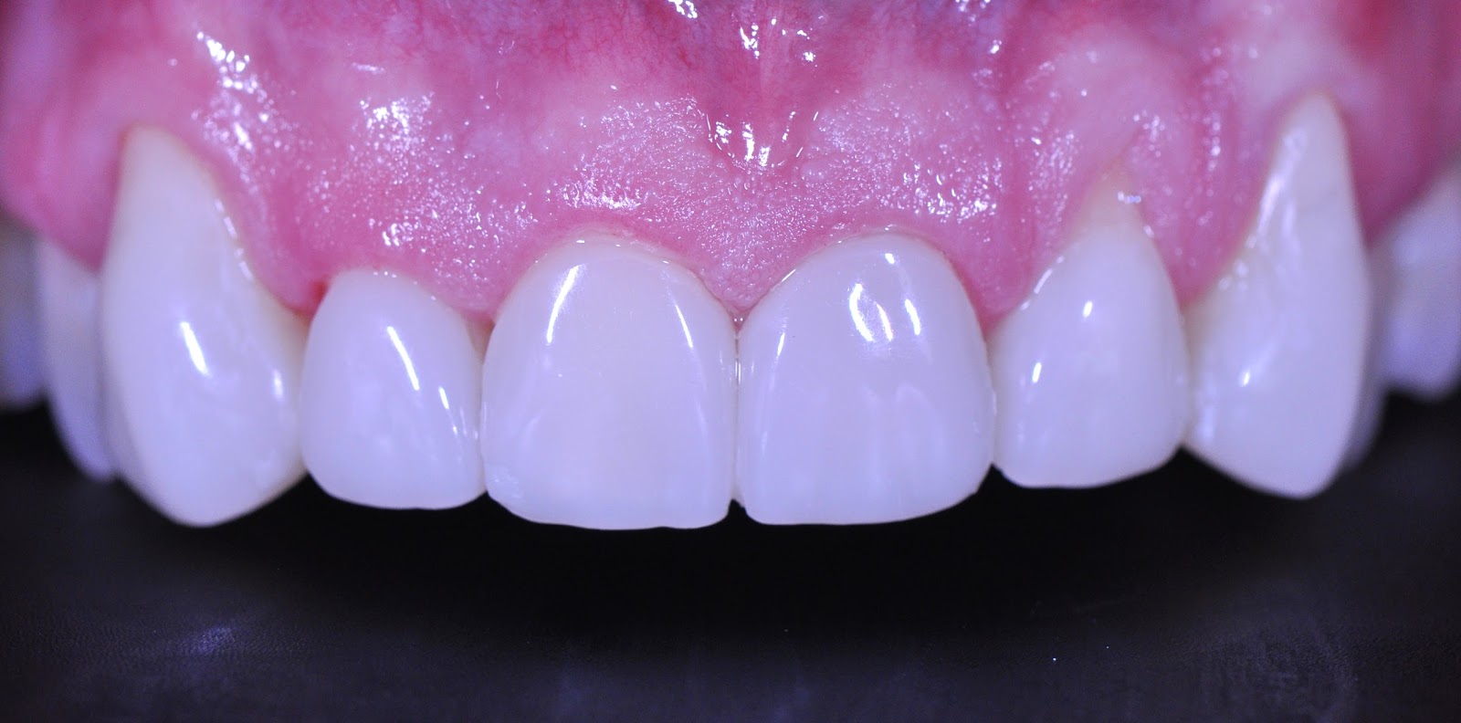
after2